• Últimas noticias
  • Todo
  • Ciencia y Tecnología
Beber en el embarazo, incluso poco, produce cambios en el cerebro del bebé

Beber en el embarazo, incluso poco, produce cambios en el cerebro del bebé

22 de noviembre de 2022
Impuesto de circulación de vehículos. / Foto: Archivo.

Impuesto de circulación: Solo el 30.7% del parque vehicular lo ha pagado

23 de mayo de 2026
Reunión extraordinaria del Codede de Retalhuleu conoce y aprueba priorización de demandas

Reunión extraordinaria del Codede de Retalhuleu conoce y aprueba priorización de demandas

23 de mayo de 2026
Ministerio de Educación promueve los cursos en línea. (Foto: archivo)

Ministerio de Educación promueve los cursos en línea para docentes

23 de mayo de 2026
Noche de Leyendas lidera agenda del Finde Cultural. / Foto: MCD.

Finde Cultural: la Noche de Leyendas protagoniza las actividades de este fin de semana

23 de mayo de 2026
Laguna El Pino: un destino natural seguro y limpio para disfrutar en familia en Barberena

Laguna El Pino: un destino natural seguro y limpio para disfrutar en familia en Barberena

23 de mayo de 2026
Guía Metodológica permitirá fortalecer entornos escolares saludables, equitativos y sostenibles. (Foto: Mineduc)

Lanzan Guía Metodológica para la Implementación de Escuelas Promotoras de la Salud

22 de mayo de 2026
Resumen de Noticias AGN / Foto: AGN

Resumen de noticias – viernes 22 de mayo 2026

22 de mayo de 2026
Concluye el 86 Festival Económico Financiero con la participación de más de 2 mil estudiantes. / Foto: Banguat.

Concluye el 86 Festival Económico Financiero con la participación de más de 2 mil estudiantes

22 de mayo de 2026
Inicia proceso para elegir representantes no gubernamentales en los Consejos Departamentales de Desarrollo

Presentan guías para elegir representantes no gubernamentales en los consejos departamentales de desarrollo

22 de mayo de 2026
Autoridades, expertos y representantes del sistema financiero apoyan aprobación de la Ley contra el lavado de dinero

Autoridades, expertos y representantes del sistema financiero solicitan aprobar la ley contra el lavado de dinero

22 de mayo de 2026
Conred declara alerta amarilla preventiva por el calor y escasez de lluvia. / Foto: archivo SCSP.

Guatemala en alerta amarilla preventiva por escasez de lluvia y prevalencia del calor

22 de mayo de 2026
Sede del Ministerio de Gobernación, entidad que clasificó en reserva el convenio sobre construcción de cárcel.

El Mingob clasifica como reservado el contenido del convenio para la construcción de cárcel

22 de mayo de 2026
Guatemala de la Asunción
sábado, mayo 23, 2026
  • Iniciar Sesión
Agencia Guatemalteca de Noticias
  • Inicio
  • Nosotros
  • Noticias
  • Categorías
    • GOBIERNO
      • Presidencia
      • Vicepresidencia
      • Transparencia
      • Desarrollo Social
      • Gestión de Riesgos
    • NACIONALES
      • Seguridad
      • Educación
      • Salud
      • Infraestructura
      • Medio Ambiente
      • Clima y Estado del Tiempo
      • Galería Fotográfica
      • Bienestar Animal
    • DEPARTAMENTALES
      • Preservación de Idiomas Nacionales
      • Alta Verapaz
      • Baja Verapaz
      • Chimaltenango
      • Chiquimula
      • El Progreso
      • Escuintla
      • Guatemala
      • Huehuetenango
      • Izabal
      • Jalapa
      • Jutiapa
      • Petén
      • Quetzaltenango
      • Quiché
      • Retalhuleu
      • Sacatepéquez
      • San Marcos
      • Santa Rosa
      • Sololá
      • Suchitepéquez
      • Totonicapán
      • Zacapa
    • ECONOMÍA
      • Finanzas
      • Emprendimiento
      • Turismo
      • Inversión
    • INTERNACIONALES
    • SOCIEDAD Y CULTURA
      • Arte
      • Cultura
      • Ciencia y Tecnología
      • Cine y Televisión
      • SALUD Y VIDA
    • DEPORTES
      • Deportes Nacionales
      • Deportes Internacionales
Sin Resultados
Ver todos los resultados
Agencia Guatemalteca de Noticias
Sin Resultados
Ver todos los resultados

Beber en el embarazo, incluso poco, produce cambios en el cerebro del bebé

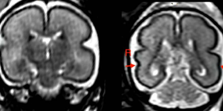
Estudio analizó resonancias magnéticas de 24 fetos de entre 22 y 36 semanas de gestación.

AGN por AGN
22 de noviembre de 2022
en Ciencia y Tecnología, INTERNACIONALES
Beber en el embarazo, incluso poco, produce cambios en el cerebro del bebé

Beber en el embarazo, incluso poco, produce cambios en el cerebro del bebé.

Redacción Ciencia, 22 nov (EFE).- El consumo de alcohol durante el embarazo, incluso en cantidades bajas o moderadas, puede modificar la estructura cerebral del bebé y retrasar su desarrollo. Esto lo descubrió un estudio de la Universidad de Viena.

La investigación, que se presentará la semana que viene en la reunión anual de la Sociedad Radiológica de Norteamérica (RSNA), analizó resonancias magnéticas realizadas a 24 fetos entre las semanas 22 y 36 de gestación. La exposición al alcohol de las madres se determinó mediante encuestas.

El consumo de alcohol durante el embarazo puede exponer al futuro bebé a un grupo de enfermedades denominadas trastornos del espectro alcohólico fetal. Estas pueden suponer dificultades de aprendizaje, del comportamiento o retrasos en el habla y el lenguaje.

Maduración fetal

En los fetos expuestos al alcohol, la puntuación total de maduración fetal era significativamente menor que en los controles emparejados por edad. Además, el surco temporal superior (STS) derecho, que interviene en la cognición social, la integración audiovisual y la percepción del lenguaje, era más superficial.

Encontramos los mayores cambios en la región cerebral temporal y en el STS, dijo Greorg Kasprian, uno de los autores del estudio.

El investigador destacó que habían observado cambios cerebrales en los fetos incluso con niveles bajos de exposición al alcohol.

El retraso en el desarrollo del cerebro del feto podría estar relacionado específicamente con un retraso en la etapa de mielinización y una girificación menos marcada en los lóbulos frontal y occipital.

El proceso de mielinización es fundamental para el funcionamiento del cerebro y del sistema nervioso. Asimismo, la girificación se refiere a la formación de los pliegues de la corteza cerebral.

Sin embargo, aún no está claro cómo pueden afectar esos cambios estructurales al desarrollo del cerebro de los bebés después del nacimiento, por lo que se quiere hacer un seguimiento del grupo.

Lea también:

El cerebro infantil está programado para aprender más rápido que el de los adultos

lc/ir

Etiquetas: internacionales
Agencia Guatemalteca de Noticias

AGN.GT - 2021

Sitio web desarrollado por:

  • SCSPR

Síguenos

Welcome Back!

Login to your account below

Forgotten Password?

Retrieve your password

Please enter your username or email address to reset your password.

Log In

Add New Playlist

Sin Resultados
Ver todos los resultados
  • Inicio
  • Nosotros
  • Noticias
  • Categorías
    • GOBIERNO
      • Presidencia
      • Vicepresidencia
      • Transparencia
      • Desarrollo Social
      • Gestión de Riesgos
    • NACIONALES
      • Seguridad
      • Educación
      • Salud
      • Infraestructura
      • Medio Ambiente
      • Clima y Estado del Tiempo
      • Galería Fotográfica
      • Bienestar Animal
    • DEPARTAMENTALES
      • Preservación de Idiomas Nacionales
      • Alta Verapaz
      • Baja Verapaz
      • Chimaltenango
      • Chiquimula
      • El Progreso
      • Escuintla
      • Guatemala
      • Huehuetenango
      • Izabal
      • Jalapa
      • Jutiapa
      • Petén
      • Quetzaltenango
      • Quiché
      • Retalhuleu
      • Sacatepéquez
      • San Marcos
      • Santa Rosa
      • Sololá
      • Suchitepéquez
      • Totonicapán
      • Zacapa
    • ECONOMÍA
      • Finanzas
      • Emprendimiento
      • Turismo
      • Inversión
    • INTERNACIONALES
    • SOCIEDAD Y CULTURA
      • Arte
      • Cultura
      • Ciencia y Tecnología
      • Cine y Televisión
      • SALUD Y VIDA
    • DEPORTES
      • Deportes Nacionales
      • Deportes Internacionales

AGN.GT - 2021