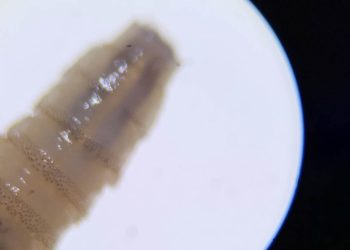
Puestos de control: una barrera eficaz contra el gusano barrenador del ganado
Ciudad de Guatemala, 12 abr (AGN).– Para enfrentar una amenaza que pone en riesgo la salud del hato ganadero nacional, el Ministerio de Agricultura, Ganadería y Alimentación (MAGA) ha puesto ...





















