Redacción Ciencia, 31 may (EFE).- Algunos tipos de cáncer infantil presentan un número de alteraciones en el ADN considerablemente mayor de lo que se pensaba, un hallazgo que además de cambiar la forma de entender los tumores infantiles, abre la puerta a nuevas opciones de tratamiento o a reutilizar otras como la inmunoterapia.
Los detalles de la investigación, realizada por científicos del Instituto Wellcome Sanger, la Universidad de Cambridge, el Centro Princesa Máxima de Oncología Pediátrica, el Instituto Oncode de los Países Bajos, el Hospital Great Ormond Street y la Fundación NHS de los Hospitales Universitarios de Cambridge, se han publicado en Nature Communications.
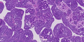
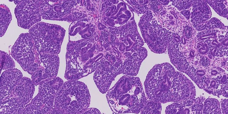
Para hacer el estudio, el equipo se centró en un tipo de cáncer renal infantil conocido como tumor de Wilms.
Los científicos secuenciaron genéticamente múltiples muestras de este tumor con una resolución inédita y descubrieron muchos más cambios genéticos por célula cancerosa de lo esperado, lo que supone millones de cambios por tumor.
Los autores creen que este hallazgo sugiere que algunos tumores infantiles podrían ser candidatos a tratamientos como la inmunoterapia.
El estudio también describe un único cambio genético espontáneo que causa un tipo raro de tumor de Wilms, con el que nacen los niños, y que se produce en una fase temprana del desarrollo en el útero.
Además, descubrieron que estos tumores tienen un aspecto particular al microscopio y un perfil genético, lo que implica que, en el futuro, podría ser posible desarrollar terapias personalizadas y planes clínicos a medida para las personas con este cambio genético.
Por todo ello, la investigación cuestiona la idea generalizada de que los cánceres infantiles tienen un número muy bajo de cambios genéticos y, en cambio, sugiere que podría haber tratamientos eficaces para adultos que podrían adaptarse a los tumores infantiles en el futuro.
Mejores candidatos a tratamientos
El tumor de Wilms es un tipo de cáncer de riñón que afecta principalmente a niños menores de cinco años. Hasta ahora se pensaba que los tumores cancerosos infantiles, como este, tenían un número reducido de alteraciones genéticas, también llamadas variantes genéticas.
Para investigar cómo y por qué estos tumores se presentan tan temprano en la vida, el equipo del Instituto Sanger y sus colaboradores aplicaron las últimas técnicas de secuenciación genómica de vanguardia que permiten encontrar incluso cambios genéticos presentes en una sola célula.
Con estos métodos, secuenciaron muestras de tumores de Wilms de cuatro niños, de hasta seis meses de edad y descubrieron que una sola célula cancerosa tenía entre 72 y 111 cambios genéticos adicionales a los ya identificados mediante métodos de secuenciación del genoma completo.
Esto significa que, si se tiene en cuenta el número total de células del tumor, es muy probable que haya millones de cambios genéticos por tumor en total, y no las bajas cifras que se pensaba anteriormente.
Ventajas y desventajas
Además de cambiar la comprensión de los tumores infantiles, el hallazgo también podría tener implicaciones para el tratamiento. Con este número de posibles cambios genéticos, es probable que los tumores se vuelvan resistentes a los tratamientos más rápidamente, o que algunos medicamentos no funcionen en absoluto, pero también que los tumores infantiles son mejores candidatos para los tratamientos que se usan en adultos como las inmunoterapias.
El equipo también siguió la evolución de los tumores en tres niños y descubrió una nueva mutación que causa el tumor de Wilms.
Se descubrió que este único cambio en el gen FOXR2 se producía mientras el riñón se desarrollaba en el útero, y está asociado a una apariencia particular del tumor al microscopio y a un conjunto específico de cambios en el ARN.
Los investigadores sugieren que esto podría utilizarse para identificar estos tumores y que, algún día, podría ser posible desarrollar un tratamiento personalizado específico para determinados perfiles genéticos del tumor de Wilms.
También le recomendamos:
Roberto Alejos: “Si queremos defender nuestros derechos, tenemos que conocer la Constitución”
rm













