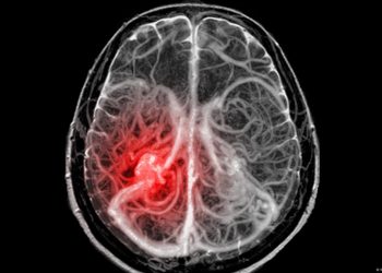
Ensayo logra tratar con éxito tumores cerebrales infantiles incurables
Redacción Ciencia, 17 nov (EFE).- Las terapias con células CAR-T han ofrecido buenos resultados en los cánceres de la sangre, pero no en los tumores sólidos. Ahora, un equipo de ...




















